Neonatal Head Ultrasound

Neonatal head ultrasound is an imaging test that involves taking coronal and longitudinal images of the brain by transmitting sound waves. It takes images through the anterior fontanel. The healthcare provider or radiologist will use a handheld transducer or probe to take images of the brain of an infant. It is an effective way of identifying any germinal matrix or hydrocephalus bleeding in infants. Keep reading to find out more about the importance of having an ultrasound done and how to prepare for the test.

Neonatal Head Ultrasound: Preparation and the Procedure

There is no preparation required for this procedure. You just need to arrive at least 15 minutes before scheduled time. Make sure to have a prescription from the doctor. You could bring blanket, bottle, pacifier, etc., to keep the infant comfortable throughout the procedure.

Procedure

  • The infant will lie on the exam table.
  • The radiologist will apply a non-greasy gel to his/her anterior fontanel.
  • A probe will be placed on top of the infant's head to transmit sound waves and obtain images of the brain.
  • The radiologist will examine the images before the infant leaves the department.

Neonatal Head Ultrasound

The radiologist will take a standard set of views to assist with consistent visualization of different structures. This will also help to identify any possible abnormalities. The head ultrasound takes a 'slice' through the structure in order to obtain a 2D or 3D image. It is also important to understand that though the images are taken through anterior fontanel, the doctor may decide to use the posterior fontanel in certain circumstances. It is also common to take axial images through the temporal bone.

Coronal Views

In the coronal view, your radiologist will take a number of images through the frontal lobes. They will then take images along the plane of the choroid plexus and then higher above it.

Coronal:

1. Frontal cortex.

2. “Pentagon view” – MCAs in Sylvian fissures.

3. Foramen of Monro/third ventricle.

4. Fourth ventricular plane.

5. Lateral ventricular trigones.

6. Periventricular white matter and cortex.

Here are four coronal images in different planes for you to understand.

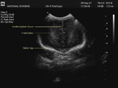
1. Frontal Lobes

Here is an image taken through the frontal lobes. It is possible to see the orbital ridge in the image that forms the inferior boundary.

2. Anterior Horns of the Lateral Ventricles

The neonatal head ultrasound is taken by angling transducer back. You can see the CSF in the lateral ventricles as a dark image. The lateral ventricles are usually smaller in term infants than in preterm infants; however, it is common to see some variation in the size of the lateral ventricles, which is completely normal in most cases. It is also possible to see the cavum septum pallucidum that's right between the lateral ventricles. It will be larger in preterm infants.

3. The Third Ventricle

The image is taken by shifting the transducer further back to see the third ventricle, which is right below the septum pallucidum and lateral ventricles. As you can see, it is a bit too small to be seen clearly, but it can be of different sizes. It is also possible to see the foramen of Monro. The brainstem is more like a tree in the image.

4. Trigone

This image is taken by angling further back to cut through the trigones of the two lateral ventricles. It is easy to see the choroid plexus that fills both ventricles – it is usually quite prominent in preterm infants. It is, however, difficult to differentiate between bulky choroid and choroid plexus hemorrhage. The white matter evident in the image is called "flare" or "blush" and usually appears quite bright in this plane.

Sagittal Views

These images are taken in the midline followed by images taken on both sides. The images are usually taken at the level of the lateral ventricles.

Usually the doctor will take images of 5 planes in sagittal view including:

1. Midline x 2 to show corpus callosum, 4th ventricle.

2. Right lateral ventricle and caudo-thalamic groove.

3. Right temporal and peri-trigonal white matter.

4. Left lateral ventricle and caudo-thalamic groove.

5. Left temporal and peri-trigonal white matter.

Here's a bit more about some right sagittal images for your understanding.

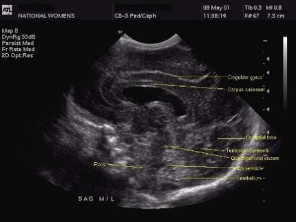
1. Midline Sagittal

The image gives some important information. It shows the cerebellar vermis as a bright image with the 4th ventricle right in front of it. Right below the cerebellar vermis is the cisterna magna, which is not that bright. With the cingulated gyrus right above, the corpus callosum sweeps from anterior to posterior. A bit further above the posterior fossa is the parieto-occipita sulcus.

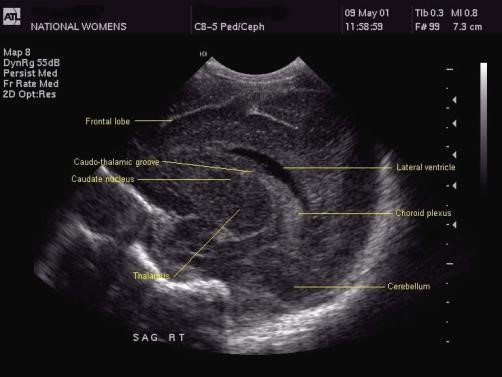
2. Angled Parasagittal

This neonatal head ultrasound shows the shape of the lateral ventricle. It is possible to see the caudate nucleus right below the frontal horn of the lateral ventricle with the thalamus right behind and below it. The occipital horn contains choroid plexus, whereas the choroid is in the caudothalamic groove, and it may or may not be echogenic.

3. Tangential Parasagittal

Angling the transducer any further will show a section close to the lateral ventricles. The above image shows the Sylvian fissure.

 
 
Current time: 10/11/2025 06:15:29 p.m. UTC Memory usage: 66492.0KB